Шановні стоматологи!
Група компаній "КРІСТАР" пропонує до вашої уваги клінічний випадок, наданий лікарем-консультантом компанії GC Дмитром Ковальчуком.
Реставрація виконана з використанням текучого композиту світлової полімеризації G-aenial Universal Injectable виробництва компанії GC Corporation.
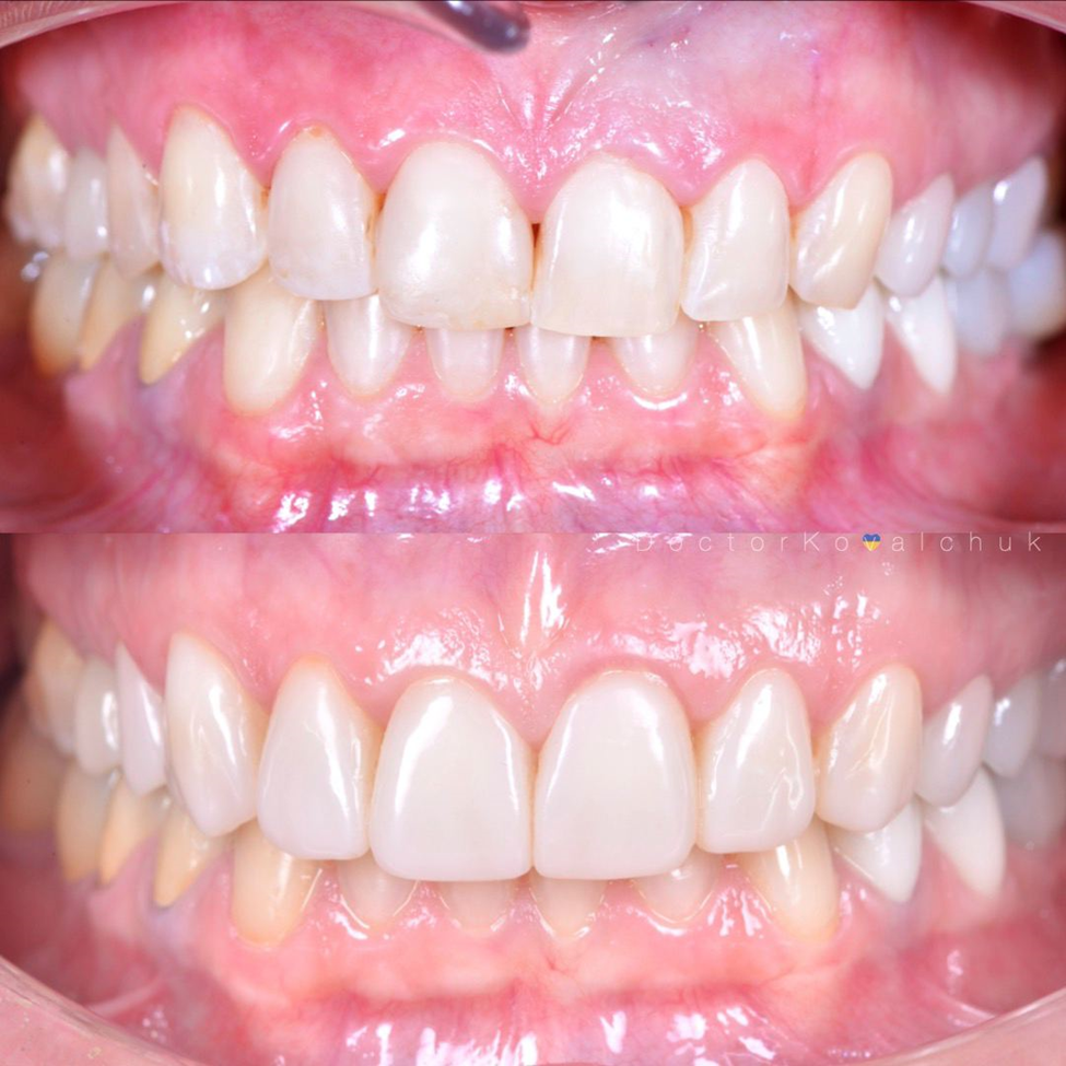
Композитні вініри інʼєкційною технікою

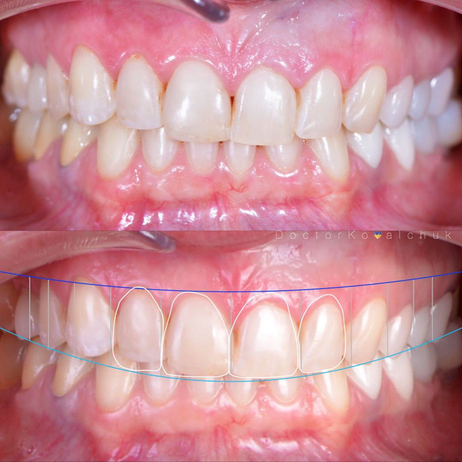
Початкова ситуація, планування майбутньої форми реставрацій за допомогою Digital Smile Design.

Основні етапи планування включали створення воскового моделювання та корекції ясеневого краю, препарування за допомогою маркерів глибини.

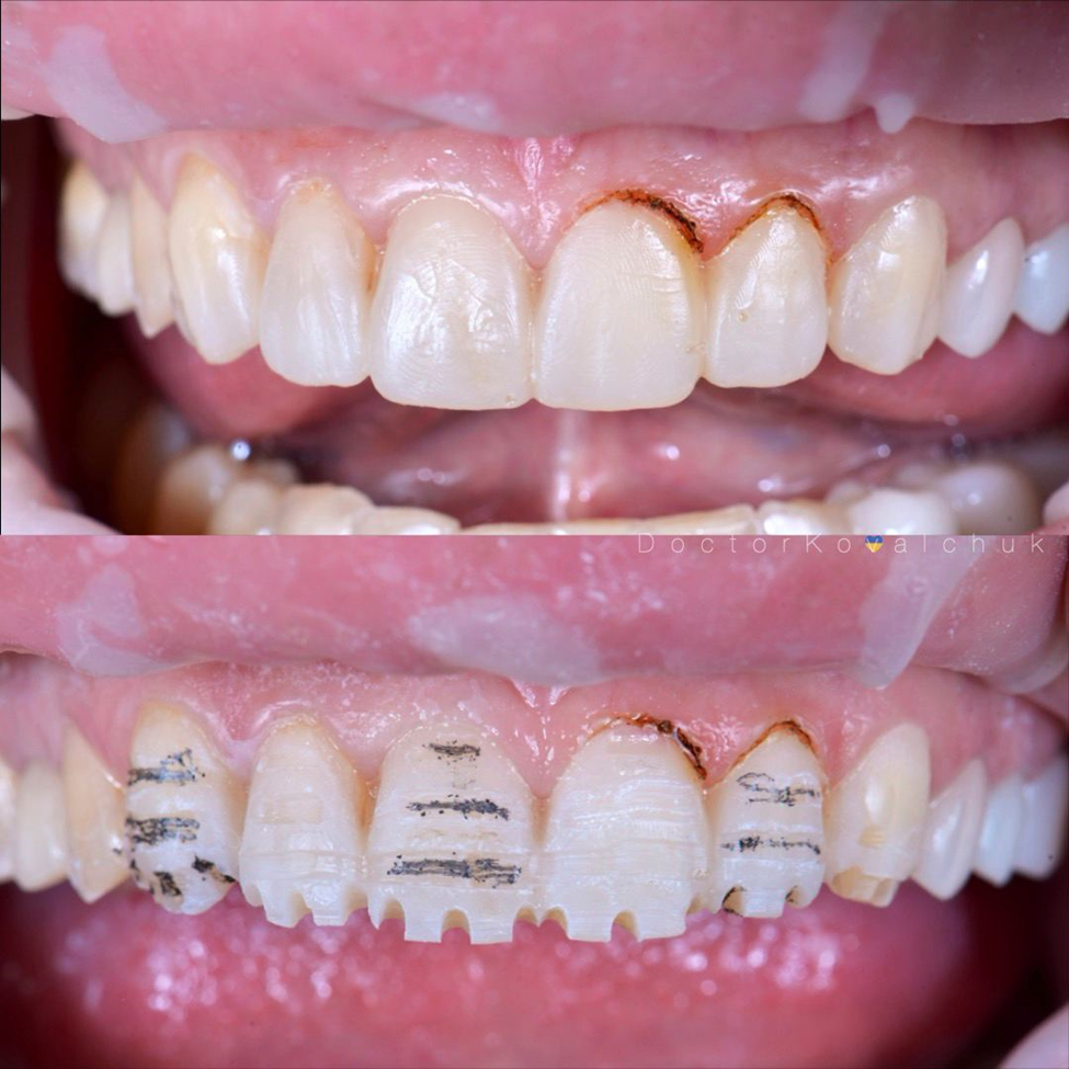
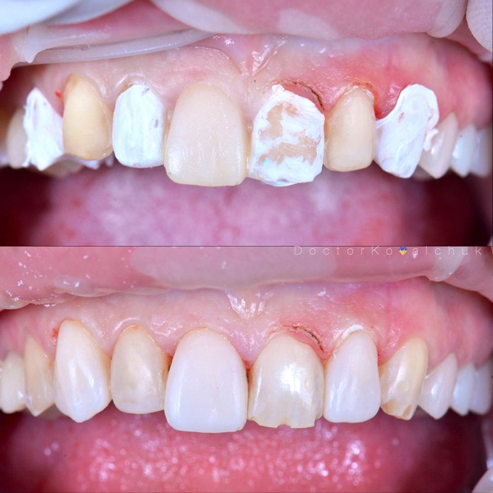
Ізоляція сусідніх зубів та адгезивна підготовка за допомогою G-PREMIO Bond.

Виготовлення прозорого ключа за допомогою А-силікону EXACLEAR GC, реставраційний рідкий композит G-AENIAL Universal Injectable GC опакового відтінку (А01). Реставрація одношарова. Полірування двоступеневою системою Diacomp.



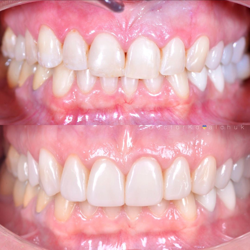
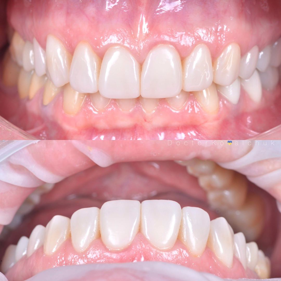
Вигляд реставрації через 2 тижні.
