Роздріб: (044) 503-11-11
Гурт: (044) 503-11-22

Вхід
Про нас
  • Про компанію
  • Партнери в Україні
Каталог
  • Стоматологічні матеріали
    • Терапія
      • Адгезиви
      • Для тимчасових пломб
      • Для шинування
      • Композити для виготовлення кукси
      • Композити світлового затвердіння
      • Композити текучі
      • Кондиціонери для склоіономерів
      • Лаки для склоіономерів
      • Мінімальне втручання
      • Підкладочні матеріали з гідроксидом кальцію та інші
      • Підкладочні матеріали склоіономерні
      • Реставраційні склоіономерні цементи
      • Травильні гелі
      • Фісурні герметики
      • Штифти волоконні
      • Інше
    • Ортопедія
      • Аксесуари
      • Альгінати
      • А-силікони
      • Для жорсткого перебазування
      • Для м’якого перебазування
      • Для реєстрації прикусу
      • Інше
      • Композити для тимчасових конструкцій
      • Пластмаси для тимчасових конструкцій
      • С-силікони
      • Цементи для фіксації
    • Бори турбінні
      • Алмазні бори
      • Карбідні бори
      • Контейнери
    • Ендодонтія
      • Гутаперчеві штифти
      • Інструменти ендодонтичні
      • Лікування каналів, Ca(OH)2
      • Обробка каналів
      • Паперові штифти
      • Пломбування каналів
    • Хірургія та пародонтологія
      • Інше
      • Шовні матеріали
    • Інструменти стоматологічні
      • Допоміжні інструменти
    • Допоміжні матеріали
      • Аксесуари
      • Відбілювання
      • Десенситайзери
      • Для полірування
      • Інше
      • Нитки ретракційні
      • Пасти для чищення та полірування
      • Праймери
      • Карпульні голки
      • Рукавички
      • Серветки для пацієнта
  • Зуботехнічні матеріали
    • CAD/CAM
      • Матеріал для 3D друку
    • Віск моделювальний
      • DIAGNOSTIC WAX
    • Гіпси
    • Дебублайзер, GLUFI, інше
    • Диски алмазні
    • Кераміка
      • Безметалева кераміка
    • Композити
      • GRADIA
      • GRADIA PLUS
      • OPTIGLAZE
    • Лаки, ізолятори, маркери контактів
      • COLLOIDAL GRAPHITE
      • CONTACT MARKER
      • Ізолятори, затверджувач гіпсу
      • Лак для воску
      • Лаки компенсаційні
    • Моделювальна пластмаса
    • Скловолокно армуюче
    • Формовочні маси
    • Ясенна маска
  • Гігієна
    • PERIO-AID
    • Засоби щоденні профілактичні
    • Засоби щоденні спеціальні
      • HALITA
      • INTERPROX
      • VITIS ANTICARIES
      • VITIS GINGIVAL
      • VITIS HEALTHY GUMS
      • VITIS ORTHODONTIC
      • VITIS SENSITIVE
      • VITIS WHITENING
    • Засоби щоденні для дітей
    • Флоси
    • Щітки зубні спеціальні
    • Щітки зубні щоденні
    • Щітки зубні для дітей
    • Щітки міжзубні
  • Розпродаж
    • Для стоматологів
    • Для зубних техніків
Акції
Інформація
  • Прайси
  • Виробники
  • Новини
  • Навчальні заходи
  • Клінічні випадки
  • Питання-відповідь
  • Доставка та повернення
  • Контакти
    • Головний офіс
    • Регіональні представництва
  • Умови користування
  • Друковані матеріали
  • Мобільні додатки
  • Статті DENTAID EXPERTISE
Особистий кабінет
  • Персональні дані
  • Адреси доставки
  • Історія замовлень
  • Стан взаєморозрахунків
  • Інформування про товари
  • Змінити пароль
  • Вийти
  • Про нас
    • Про компанію
    • Партнери в Україні
  • Каталог
    • Стоматологічні матеріали
      • Терапія
      • Ортопедія
      • Бори турбінні
      • Ендодонтія
      • Хірургія та пародонтологія
      • Інструменти стоматологічні
      • Допоміжні матеріали
    • Зуботехнічні матеріали
      • CAD/CAM
      • Віск моделювальний
      • Гіпси
      • Дебублайзер, GLUFI, інше
      • Диски алмазні
      • Кераміка
      • Композити
      • Лаки, ізолятори, маркери контактів
      • Моделювальна пластмаса
      • Скловолокно армуюче
      • Формовочні маси
      • Ясенна маска
    • Гігієна
      • PERIO-AID
      • Засоби щоденні профілактичні
      • Засоби щоденні спеціальні
      • Засоби щоденні для дітей
      • Флоси
      • Щітки зубні спеціальні
      • Щітки зубні щоденні
      • Щітки зубні для дітей
      • Щітки міжзубні
    • Розпродаж
      • Для стоматологів
      • Для зубних техніків
  • Акції
  • Інформація
    • Прайси
    • Виробники
    • Новини
    • Навчальні заходи
    • Клінічні випадки
    • Питання-відповідь
    • Доставка та повернення
    • Контакти
      • Головний офіс
      • Регіональні представництва
    • Умови користування
    • Друковані матеріали
    • Мобільні додатки
    • Статті DENTAID EXPERTISE
  • Особистий кабінет
    • Персональні дані
    • Адреси доставки
    • Історія замовлень
    • Стан взаєморозрахунків
    • Інформування про товари
    • Змінити пароль
    • Вийти
Кошик: 0 Кошик: 0
на 0 грн
Кошик: +0 Кошик: +0
Відкладено 0
У кошик додано
Ваш кошик порожній
Додаючи товар у кошик, Ви підтверджуєте, що купуєте продукцію для професійного використання в стоматологічній клініці чи зуботехнічній лабораторії, або для подальшої реалізації як гуртовий партнер КРІСТАР
На жаль, Ваш кошик порожній.
Виправити це непорозуміння дуже просто:
виберіть у каталозі товар, що Вас цікавить, і натисніть кнопку «У кошик».
Разом:0 грн

Продовжити покупки Перейти у кошик
КАТАЛОГ
магазин тільки для стоматологів та зубних техніків

FUJI TEMP LT – перший склоіономерний цемент для довготривалих тимчасових фіксацій

ГоловнаІнформаціяКлінічні випадки
  • Прайси
  • Виробники
  • Новини
  • Навчальні заходи
  • Клінічні випадки
  • Питання-відповідь
  • Доставка та повернення
  • Контакти
  • Умови користування
  • Друковані матеріали
  • Мобільні додатки
  • Статті DENTAID EXPERTISE

Шановні лікарі!

Група компаній "КРІСТАР" пропонує до вашої уваги клінічний випадок наданий
лікарем-стоматологом вищої категорії Ларисою Чепінською.

Клінічний випадок №2 (фіксація тимчасової коронки)

Фіксація виконана із застосуванням тимчасового склоіономерного цементу FUJI TEMP LT виробництва компанії GC Corporation.

1 копия.jpg
Зуб 12: травматичний відкол коронкової частини. Попередньо зуб був пролікований ендодонтично. Потім кореневий канал був відпрепарований для виготовлення внутрішньокоренової вкладки. Був знятий відбиток. Для тимчасового естетичного відновлення з композиту GRADIA DIRECT була виготовлена тимчасова реставрація на скловолоконному штифті.
2 копия.jpg
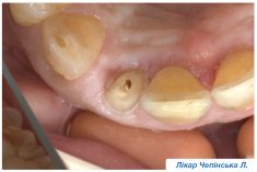
Вигляд кореня 12 зуба після видалення тимчасової реставрації.
3 копия.jpg
Керамічна вкладка (оксид цирконію).
4 копия.jpg
Внесення в кореневий канал композитного фіксуючого цементу G-CEM LinkAce.
5 копия.jpg
Фотополімеризація G-CEM LinkAce.
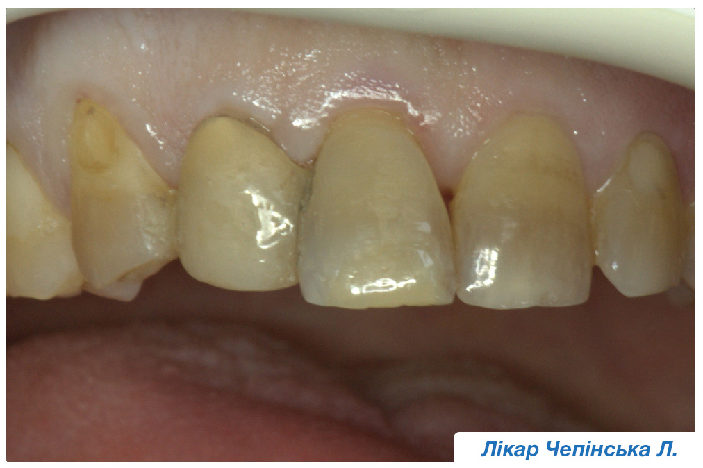
6 копия.jpg
Вигляд 12 зуба після фіксації керамічної вкладки.
7 копия.jpg
Видавлювання  FUJI TEMP LT на палетку для подальшого внесення до тимчасової коронки.
8 копия.jpg
Фіксація тимчасової коронки на куксу 12 зуба та видалення надлишків матеріалу.
9 копия.jpg
Вигляд 12 зуба після фіксації тимчасової коронки на FUJI TEMP LT.

Галерея

FUJI TEMP LT – перший склоіономерний цемент для довготривалих тимчасових фіксацій
FUJI TEMP LT – перший склоіономерний цемент для довготривалих тимчасових фіксацій
FUJI TEMP LT – перший склоіономерний цемент для довготривалих тимчасових фіксацій
FUJI TEMP LT – перший склоіономерний цемент для довготривалих тимчасових фіксацій
FUJI TEMP LT – перший склоіономерний цемент для довготривалих тимчасових фіксацій
FUJI TEMP LT – перший склоіономерний цемент для довготривалих тимчасових фіксацій
FUJI TEMP LT – перший склоіономерний цемент для довготривалих тимчасових фіксацій
FUJI TEMP LT – перший склоіономерний цемент для довготривалих тимчасових фіксацій
FUJI TEMP LT – перший склоіономерний цемент для довготривалих тимчасових фіксацій
FUJI TEMP LT – перший склоіономерний цемент для довготривалих тимчасових фіксацій
FUJI TEMP LT – перший склоіономерний цемент для довготривалих тимчасових фіксацій
FUJI TEMP LT – перший склоіономерний цемент для довготривалих тимчасових фіксацій
FUJI TEMP LT – перший склоіономерний цемент для довготривалих тимчасових фіксацій
FUJI TEMP LT – перший склоіономерний цемент для довготривалих тимчасових фіксацій
FUJI TEMP LT – перший склоіономерний цемент для довготривалих тимчасових фіксацій
FUJI TEMP LT – перший склоіономерний цемент для довготривалих тимчасових фіксацій
FUJI TEMP LT – перший склоіономерний цемент для довготривалих тимчасових фіксацій
FUJI TEMP LT – перший склоіономерний цемент для довготривалих тимчасових фіксацій
Повернутися до списку

© 2026 ТОВ "КРІСТАР-ТРЕЙД"
Всі права захищені.

ТОВ "КРІСТАР-ТРЕЙД", м. Київ, вул, Межигірська, 50,
офіс 1
  • Про компанію
  • Новини
  • Питання-відповідь
  • Доставка та повернення
  • Контакти
  • Умови користування
info@kristar.ua
facebook.com/kristar.ua
instagram.com/kristar.ua
t.me/kristar_ua
Роздріб:
+38 (044) 503-11-11
+38 (067) 503-11-66
+38 (050) 366-11-66
+38 (073) 503-11-66

Гурт:
+38 (044) 503-11-22
+38 (067) 502-11-66