Роздріб: (044) 503-11-11
Гурт: (044) 503-11-22

Вхід
Про нас
  • Про компанію
  • Партнери в Україні
Каталог
  • Стоматологічні матеріали
    • Терапія
      • Адгезиви
      • Для тимчасових пломб
      • Для шинування
      • Композити для виготовлення кукси
      • Композити світлового затвердіння
      • Композити текучі
      • Кондиціонери для склоіономерів
      • Лаки для склоіономерів
      • Мінімальне втручання
      • Підкладочні матеріали з гідроксидом кальцію та інші
      • Підкладочні матеріали склоіономерні
      • Реставраційні склоіономерні цементи
      • Травильні гелі
      • Фісурні герметики
      • Штифти волоконні
      • Інше
    • Ортопедія
      • Аксесуари
      • Альгінати
      • А-силікони
      • Для жорсткого перебазування
      • Для м’якого перебазування
      • Для реєстрації прикусу
      • Інше
      • Композити для тимчасових конструкцій
      • Пластмаси для тимчасових конструкцій
      • С-силікони
      • Цементи для фіксації
    • Бори турбінні
      • Алмазні бори
      • Карбідні бори
      • Контейнери
    • Ендодонтія
      • Гутаперчеві штифти
      • Інструменти ендодонтичні
      • Лікування каналів, Ca(OH)2
      • Обробка каналів
      • Паперові штифти
      • Пломбування каналів
    • Хірургія та пародонтологія
      • Інше
      • Шовні матеріали
    • Інструменти стоматологічні
      • Допоміжні інструменти
    • Допоміжні матеріали
      • Аксесуари
      • Відбілювання
      • Десенситайзери
      • Для полірування
      • Інше
      • Нитки ретракційні
      • Пасти для чищення та полірування
      • Праймери
      • Карпульні голки
      • Рукавички
      • Серветки для пацієнта
  • Зуботехнічні матеріали
    • CAD/CAM
      • Матеріал для 3D друку
    • Віск моделювальний
      • DIAGNOSTIC WAX
    • Гіпси
    • Дебублайзер, GLUFI, інше
    • Диски алмазні
    • Кераміка
      • Безметалева кераміка
    • Композити
      • GRADIA
      • GRADIA PLUS
      • OPTIGLAZE
    • Лаки, ізолятори, маркери контактів
      • COLLOIDAL GRAPHITE
      • CONTACT MARKER
      • Ізолятори, затверджувач гіпсу
      • Лак для воску
      • Лаки компенсаційні
    • Моделювальна пластмаса
    • Скловолокно армуюче
    • Формовочні маси
    • Ясенна маска
  • Гігієна
    • PERIO-AID
    • Засоби щоденні профілактичні
    • Засоби щоденні спеціальні
      • HALITA
      • INTERPROX
      • VITIS ANTICARIES
      • VITIS GINGIVAL
      • VITIS HEALTHY GUMS
      • VITIS ORTHODONTIC
      • VITIS SENSITIVE
      • VITIS WHITENING
    • Засоби щоденні для дітей
    • Флоси
    • Щітки зубні спеціальні
    • Щітки зубні щоденні
    • Щітки зубні для дітей
    • Щітки міжзубні
  • Розпродаж
    • Для стоматологів
    • Для зубних техніків
Акції
Інформація
  • Прайси
  • Виробники
  • Новини
  • Навчальні заходи
  • Клінічні випадки
  • Питання-відповідь
  • Доставка та повернення
  • Контакти
    • Головний офіс
    • Регіональні представництва
  • Умови користування
  • Друковані матеріали
  • Мобільні додатки
  • Статті DENTAID EXPERTISE
Особистий кабінет
  • Персональні дані
  • Адреси доставки
  • Історія замовлень
  • Стан взаєморозрахунків
  • Інформування про товари
  • Змінити пароль
  • Вийти
  • Про нас
    • Про компанію
    • Партнери в Україні
  • Каталог
    • Стоматологічні матеріали
      • Терапія
      • Ортопедія
      • Бори турбінні
      • Ендодонтія
      • Хірургія та пародонтологія
      • Інструменти стоматологічні
      • Допоміжні матеріали
    • Зуботехнічні матеріали
      • CAD/CAM
      • Віск моделювальний
      • Гіпси
      • Дебублайзер, GLUFI, інше
      • Диски алмазні
      • Кераміка
      • Композити
      • Лаки, ізолятори, маркери контактів
      • Моделювальна пластмаса
      • Скловолокно армуюче
      • Формовочні маси
      • Ясенна маска
    • Гігієна
      • PERIO-AID
      • Засоби щоденні профілактичні
      • Засоби щоденні спеціальні
      • Засоби щоденні для дітей
      • Флоси
      • Щітки зубні спеціальні
      • Щітки зубні щоденні
      • Щітки зубні для дітей
      • Щітки міжзубні
    • Розпродаж
      • Для стоматологів
      • Для зубних техніків
  • Акції
  • Інформація
    • Прайси
    • Виробники
    • Новини
    • Навчальні заходи
    • Клінічні випадки
    • Питання-відповідь
    • Доставка та повернення
    • Контакти
      • Головний офіс
      • Регіональні представництва
    • Умови користування
    • Друковані матеріали
    • Мобільні додатки
    • Статті DENTAID EXPERTISE
  • Особистий кабінет
    • Персональні дані
    • Адреси доставки
    • Історія замовлень
    • Стан взаєморозрахунків
    • Інформування про товари
    • Змінити пароль
    • Вийти
Кошик: 0 Кошик: 0
на 0 грн
Кошик: +0 Кошик: +0
Відкладено 0
У кошик додано
Ваш кошик порожній
Додаючи товар у кошик, Ви підтверджуєте, що купуєте продукцію для професійного використання в стоматологічній клініці чи зуботехнічній лабораторії, або для подальшої реалізації як гуртовий партнер КРІСТАР
На жаль, Ваш кошик порожній.
Виправити це непорозуміння дуже просто:
виберіть у каталозі товар, що Вас цікавить, і натисніть кнопку «У кошик».
Разом:0 грн

Продовжити покупки Перейти у кошик
КАТАЛОГ
магазин тільки для стоматологів та зубних техніків

Використання G-aenial для реставрування по методиці багатошарового нанесення

ГоловнаІнформаціяКлінічні випадки
  • Прайси
  • Виробники
  • Новини
  • Навчальні заходи
  • Клінічні випадки
  • Питання-відповідь
  • Доставка та повернення
  • Контакти
  • Умови користування
  • Друковані матеріали
  • Мобільні додатки
  • Статті DENTAID EXPERTISE

Шановні лікарі!

Група компаній "КРІСТАР" пропонує до вашої уваги клінічний випадок наданий
лікарем-стоматологом вищої категорії Ларисою Чепінською.

Реставрація виконана з використанням матеріалів сімейства G-aenial виробництва компанії GC Corporation.

Діагноз: хронічний простий періодонтит 21 зуба (ІІ клас). Дисколорація 21 зуба. Хронічний карієс 11 зуба (вторинний, IV клас).   

1.jpg
21 зуб – зміна кольору емалі, відкол емалі ріжучого краю. 11 зуб - реставрація вийшла з ладу на медіальній поверхні.
2.jpg
21 зуб після повторного ендодонтичного лікування та проведення внутрішньоканального відбілювання.
3.jpg
Виготовлення ключа оклюзії. Попередньо 21 зуб був реставрований без адгезивної техніки.
kanal2.jpg
В усті каналу "недопломбування" зроблено навмисно – резервувалося місце для ендовідбілювання.  В подальшому коренева пломба, що залишилась, була перекрита склоіономерним цементом Fuji Lining LC. Перед тим як формувати ложе для скловолоконного штифта ця "пробка" з Fuji Lining LC була видалена за допомогою ультразвуку.
4.jpg
Відпрепарований 21 зуб (вестибулярна поверхня).
5.jpg
Відпрепарований 21 зуб (піднебінна поверхня). Кореневий канал 21 зуба підготовлений для фіксації скловолоконного штифта.
6.jpg
Скловолоконний штифт фіксували на композитний фіксуючий цемент G-CEM Automix.
7.jpg
Моделюваня піднебінної поверхні матеріалом G-aenial JE.
8.jpg
Моделювання вестибулярної, медіальної, піднебінної поверхонь матеріалом G-aenial B2, JE.
9.jpg
В кореневому каналі 21 зуба зафіксований скловолоконний штифт Micro.Medica.
10.jpg
Заповнення піднутрень та формування адаптаційного шару рідким композитом G-aenial Flo A2.
11.jpg
Видалення пломби, препарування порожнини 21 зуба проводили до встановлення кофердаму (вестибулярна поверхня).
12.jpg
Внесення внутрішнього відтінку матеріалу G-aenial AO2.  
13.jpg
Моделювання вестибулярної, медіальної, піднебінної поверхонь матеріалом G-aenial B2, JE.
14.jpg
Вигляд реставрацій 11 та 12 зубів відразу після зняття кофердаму (вестибулярна поверхня).
15.jpg
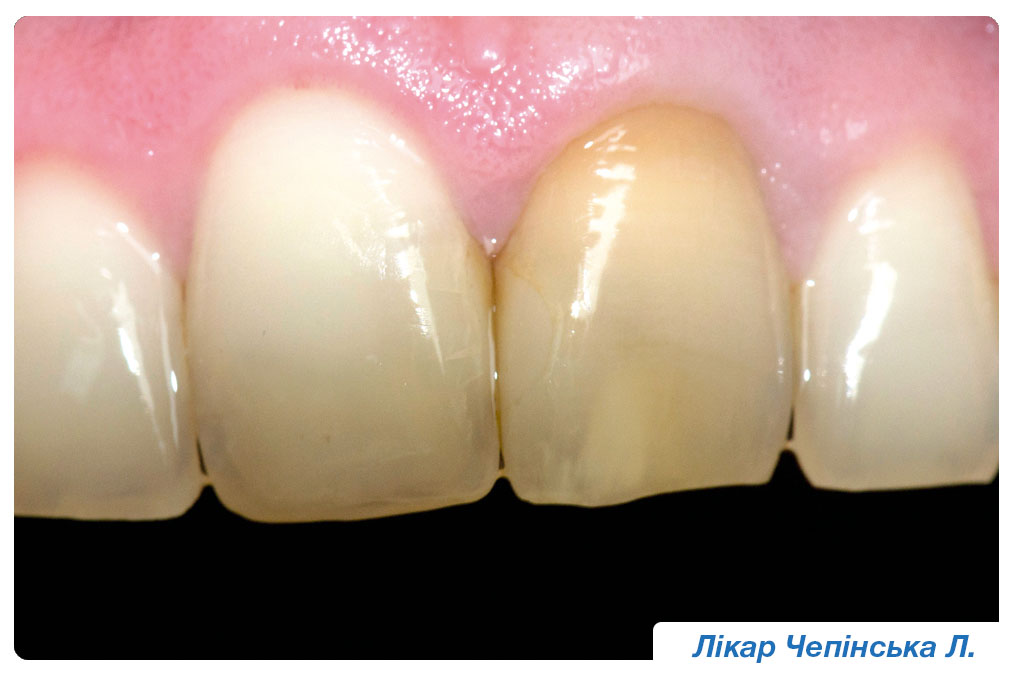
Вигляд реставрацій 11 та 12 зубів через 5 днів (вестибулярна поверхня).
16.jpg
Вигляд реставрацій 11 та 12 зубів через 5 днів (піднебінна поверхня). 

Галерея

Використання G-aenial для реставрування по методиці багатошарового нанесення
Використання G-aenial для реставрування по методиці багатошарового нанесення
Використання G-aenial для реставрування по методиці багатошарового нанесення
Використання G-aenial для реставрування по методиці багатошарового нанесення
Використання G-aenial для реставрування по методиці багатошарового нанесення
Використання G-aenial для реставрування по методиці багатошарового нанесення
Використання G-aenial для реставрування по методиці багатошарового нанесення
Використання G-aenial для реставрування по методиці багатошарового нанесення
Використання G-aenial для реставрування по методиці багатошарового нанесення
Використання G-aenial для реставрування по методиці багатошарового нанесення
Використання G-aenial для реставрування по методиці багатошарового нанесення
Використання G-aenial для реставрування по методиці багатошарового нанесення
Використання G-aenial для реставрування по методиці багатошарового нанесення
Використання G-aenial для реставрування по методиці багатошарового нанесення
Використання G-aenial для реставрування по методиці багатошарового нанесення
Використання G-aenial для реставрування по методиці багатошарового нанесення
Використання G-aenial для реставрування по методиці багатошарового нанесення
Використання G-aenial для реставрування по методиці багатошарового нанесення
Використання G-aenial для реставрування по методиці багатошарового нанесення
Використання G-aenial для реставрування по методиці багатошарового нанесення
Використання G-aenial для реставрування по методиці багатошарового нанесення
Використання G-aenial для реставрування по методиці багатошарового нанесення
Використання G-aenial для реставрування по методиці багатошарового нанесення
Використання G-aenial для реставрування по методиці багатошарового нанесення
Використання G-aenial для реставрування по методиці багатошарового нанесення
Використання G-aenial для реставрування по методиці багатошарового нанесення
Використання G-aenial для реставрування по методиці багатошарового нанесення
Використання G-aenial для реставрування по методиці багатошарового нанесення
Використання G-aenial для реставрування по методиці багатошарового нанесення
Використання G-aenial для реставрування по методиці багатошарового нанесення
Використання G-aenial для реставрування по методиці багатошарового нанесення
Використання G-aenial для реставрування по методиці багатошарового нанесення
Використання G-aenial для реставрування по методиці багатошарового нанесення
Використання G-aenial для реставрування по методиці багатошарового нанесення
Повернутися до списку

© 2026 ТОВ "КРІСТАР-ТРЕЙД"
Всі права захищені.

ТОВ "КРІСТАР-ТРЕЙД", м. Київ, вул, Межигірська, 50,
офіс 1
  • Про компанію
  • Новини
  • Питання-відповідь
  • Доставка та повернення
  • Контакти
  • Умови користування
info@kristar.ua
facebook.com/kristar.ua
instagram.com/kristar.ua
t.me/kristar_ua
Роздріб:
+38 (044) 503-11-11
+38 (067) 503-11-66
+38 (050) 366-11-66
+38 (073) 503-11-66

Гурт:
+38 (044) 503-11-22
+38 (067) 502-11-66